Лапароскопія. Видалення запального тубоовариального утворення додатків матки в умовах відмежованого хроничного тазового перитоніту

Гінекологія
Мiсце проведення:

Медичний центр "Esperanto MED"

Формат: Трансляція
За підтримки:

KARL STORZ Україна

Організатор

Ігор Нігуца

лікар акушер-гінеколог вищої кваліфікаційної категорії

Кандидат медичних наук

директор Медичного Центру

Учасники

Гордєєв Владислав Миколайович

Організатор Україна

Лікар акушер-гінеколог

Четверіков Михайло Сергійович

Організатор Україна

Лікар акушер-гінеколог, лікар-онколог

Про подію

🔴 Онлайн трансляція гінекологічної операції

Складний клінічний випадок у практиці гінеколога

Запрошуємо на онлайн-трансляцію оперативного втручання з детальним клінічним розбором.

👩‍⚕️ Клінічний випадок:
Пацієнтка 53 роки.
В анамнезі — екстирпація матки (12.2024) з приводу міоми.
Протягом року — ознаки хронічного запального процесу кукси піхви, виділення післяопераційних лігатур, проведення протизапальної терапії.

Після переохолодження — гострий початок:
• тягнучий біль унизу живота
• підвищення температури до 38.5°C
• за результатами дообстеження — утворення запального характеру в порожнині таза із залученням додатків

📌 Діагноз:
Тубооваріальне утворення додатків матки.
Відмежований хронічний тазовий перитоніт.

🔬 Заплановане втручання:
Лапароскопія. Видалення запального тубооваріального утворення додатків матки в умовах відмежованого хронічного тазового перитоніту. Санація черевної порожнини.

У форматі трансляції:

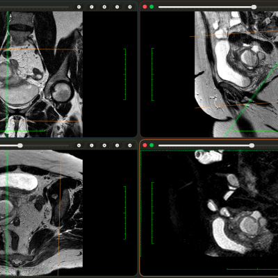
✔ розбір МРТ та клінічного висновку (зображення будуть доступні на сайті)
✔ тактика прийняття рішень у складних післяопераційних випадках
✔ особливості роботи в умовах спайкового процесу та хронічного запалення
✔ інтраопераційні нюанси
✔ відповіді на запитання в реальному часі

 

Мiсце проведення

Медичний центр "Esperanto MED"

Медичний центр Esperanto MED - Комплексне лікування та профілактика захворювань. Сучасна хірургічна клініка Півдня України. Тільки передові технології. Можливості нашого опер блоку забезпечують виконання повного обсягу оперативних втручань за напрямками: • гінекологія; • онкогінекологія; • загальна хірургія; • дитяча хірургія; • пластична хірургія; • ЛОР - хірургія.

Організатори

ENDOTRAINING_UA

ENDOTRAINING_UA — навчальний центр з малоінвазивної хірургії у співпраці з KARL STORZ. Тренінги різного рівня, live-трансляції реальних операцій, практика на оригінальному обладнанні під керівництвом провідних хірургів.

KARL STORZ

З моменту свого заснування в 1945 році сімейна компанія KARL STORZ перетворилася на світового виробника та дистриб'ютора ендоскопів, медичних інструментів та приладів. Асортимент ендоскопічного інструментарію для медицини людини та ветеринарії зараз налічує понад 15 000 найменувань продукції. Найновіші розробки KARL STORZ стосуються систем цифрової документації та комплексних концепцій операційних. Практикуючі лікарі з усього світу довіряють інноваційним рішенням від KARL STORZ!

Зв'яжіться з координатором з питань щодо події або для уточнення подробиць

Євгеній Медвецький
адміністратор